Pejsmejker

Klikom na linkove ispod možete da ubrzate video na izabranu temu:

Šta je pejsmejker

Pejsmejker je uređaj koji isporučuje električne impulse srčanom mišiću i time izaziva njegovu kontrakciju. Osnovna funkcija srca je funkcija pumpe gde se kontrakcijama komora isporučuje krv u sistemsku odnosno plućnu cirkulaciju. Do kontrakcije srčanog mišića dolazi usled električnog podražaja. Kada električna aktivnost srca izostane, pejsmejker je elektrostimulator koji je zamenjuje.

Pejsmejker

Kada se ugrađuje pejsmejker

Postoje pejsmejkeri za korekciju sporog ritma i zastoja u radu srca, pejsmejkeri koji zaustavljaju „maligne aritmije“ srca i pejsmejkeri koji kod određene grupe bolesnika popravljaju srčanu slabost.

Pejsmejkeri za korekciju sporog ritma srca

Osnovna funkcija pejsmejkera je korekcija sporog ritma srca ili zastoja u srčanom radu (usled nedovoljnih električnih impulsa ili njihovog potunog izostanka/zastoja). Ovi pejsmejkeri se zovu antibradikardni pejsmejkeri.

Simptomi koji se javljaju usled ove poremećene funkcije ritma srca su nesvestica i vrtoglavica prilikom hoda po ravnom, kao i potpuni gubitak svesti. Pacijent može osećati i samo zamor pri uobičajenim fizičkim aktivnostima ukoliko broj otkucaja srca ne može zadovoljavajuće da se poveća. Zastoj u radu srca izaziva gubitak svesti ukoliko traje dovoljno dugo da izostane potrebna ishrana mozga. Tom prilikom pacijenti se često povređuju.

EKG spori ritam srca

Pejsmejkeri koji zaustavljaju „maligne aritmije“ srca

Kardioverterdefibrilatori (ICD) su pejsmejkeri koji prekidaju maligne aritmije. Oni ne mogu sprečiti da aritmije nastanu. Redovno uzimanje lekova iz grupe antiaritmika smanjuje pojavu i učestalost ovih poremećaja ritma srca.

Usled različitih oboljenja srca, električna aktivnost srca može biti podražljiva i dovesti do izrazito visokog broja otkucaja srca (180-260/min) kada je ometeno funkcionisanje srca kao pumpe i ne dolazi do zadovoljavajuće ishrane tkiva i organa. Poremećaj ritma srca koji se zove komorska tahikardija (komorsko lepršanje) je stanje koje bolesnici u određenoj meri mogu da tolerišu ali im je neophodna hitna medicinska pomoć. Ovo stanje može da preraste u komorsku fibrilaciju, tzv „komorsko treperenje“ kada srce kao pumpa praktično ne funkcioniše i u osnovi ovo stanje je uzrokom nagle srčane smrti ukoliko se takav bolesnik ne reanimira i tretira elektrošokom.

Kardioverterdefibrilator ove tahiaritmije prepoznaje, posebnim algoritmima ih odvaja od ostalih tahikardija (ubrzan rad srca) koje nisu životno ugrožavajuće.

Prekida ih na dva načina:

EKG maligne aritmije

Pejsmejkeri koji popravljaju srčanu slabost

Ovi pejsmejkeri se zovu i reinhronizacioni pejsmejkeri.

Ugrađuju se kod određene grupe bolesnika sa srčanom slabošću koji imaju oslabljeno srce i električno asinhronu stimulaciju leve i desne komore (električno kašnjenje) usled čega nastaje i mehanička asinhronija/kašnjenje, koja dovodi do srčanog popuštanja (srce kao pumpa je značajno oslabljeno). Ugradnjom ovog pejmejkera se sinhrono (skoro istovremeno) električno stimulišu leva i desna komra, što kod oko 60% bolenika dovodi do oporavka srčane slabosti u manjoj ili većoj meri, nekada i do potpnog oporavka srca kao pumpe.

Pejsmejker za korekciju srčane slabosti

Kako se ugrađuje pejsmejker

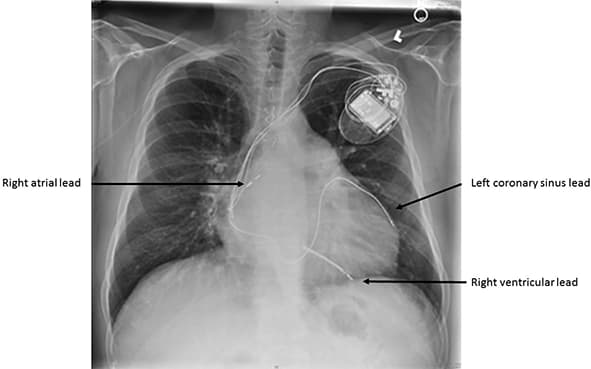
Operacija se standardno izvodi u lokalnoj anesteziji. Sam pejsmejker je generator koji proizvodi struju i ugrađuje se ispod kože. Najčešće sa leve strane, ispod leve ključne kosti, pejsmejker se stavlja u prethodno pripremljen „džep“ pod kožom. Elektrode se plasiraju kroz odgovarajuće vene, pod kontrolom rendgena, do srca, tačnije do desne komore i pretkomore, a u slučaju resinhronizacionog pejsmejkera, elektroda za stimulaciju leve komore se plasira kroz površne vene na srcu (coronarni sinus). Kada se konstatuju zadovoljavajući električni parametri, elektrode se „ušrafljuju“ u srčani mišić.

Kada je procedura protekla uredno, bez komplikacija, pacijenti sutradan idu kući.

Ugradnja antibradikardnog pejsmejkera i defibrilatora traje 40-60 min kada su sve strukture anatomski na svom mestu. Ugradnja resinhronizacionog pejsmejkera traje nešto duže.

Kako se ugradjuje pejsmejker

Koje su komplikacije kod ugradnje pejsmejkera

Kod svake hirurške procedure može doći do komplikacija, tako i kod ugradnje pejsmejkera. Komplikacije su retke i uglavnom u potpunosti rešive.

Hematom (modrica) oko operativne rane je najčešća komplikacija koja se ujedno i najlakše rešava spontanim povlačenjem. Svežu operativnu ranu pacijent ne sme sam da tretira niti maže bilo kakvim mastima.

Infekcija rane i lože pejsmejkera je komplikacija koja zahteva bolničko rešavanje. Ukolko se primeti otok i crvenilo oko operativne rane, povišena telesna temperatura u vremenskom periodu od nekoliko nedelja nakon operacije ugradnje pejsmejkera, potrebno je da se pacijent javi nadležnom lekaru koji će ga preuputiti dalje. Ova komplikacija se ne može rešavati uzimanjem antibiotika u vidu tableta u kućnim uslovima.

komplikacije pejsmejker
Infekcija rane

Najozbiljnije komplikacije, i ujedno najređe su ruptura (pucanje) plućne maramice i ruptura srca. Obe ove komplikacije se u bolničkim uslovima rešavaju u potpunosti, uglavnom bez ikakvih posledica.

Kako radi pejsmejker

Pejsmejker je jedna od najsavršenijih proteza koja se ugrađuje u telo čoveka. Zahvaljujući posebnim algoritmima pejsmejker je predviđen da električno stimuliše srce najpribližnije prirodnoj (fiziološkoj) stimulaciji. Preko elektroda, s jedne strane, detektuje spontani električni impuls u srcu i tada je „u pripravnosti“, a u slučaju izostanka spontane elektručne aktivnosti, sam isporučuje električni impuls na način na koji je programiran. To praktično znači da pejsmejker radi „onda kada je to potrebno“.

Kardioverterdefibrilatori, osim prethodno navedene funkcije „pejsinga“, tj električne stimulacije srca u slučaju sporog ritma ili zastoja u radu, ima algoritme kojima prepoznaje „maligne aritmije“, razdvaja ih od tahikardija koje pacijenta ne ugrožavaju životno, i prekidaju ih jednim od terapijskih modaliteta (antitahikardnim pejsingom ili elektrošokom). Ugradnjom ovih pejsmejkera sprečava se naprasna srčana smrt.

Resinhronizacioni pejsmejker koristi spontane električne impulse, ali i sinhroni pejsing leve i desne komore (simultani, istovremeni) da bi na taj način, korigujući električno kašnjenje, popravio mehaničko kašnjenje između leve i desne komore i time u manjoj ili većoj meri oporavio funkciju srca kao pumpe. Time se kvalitet života ovih bolesnika značajno poboljšava.

Kako se vrši kontrola pejsmejkera

Kontrola pejsmejkera se vrši uz pomoć uređaja koji se zovu programatori.

Preko magnetne glave koja se postavlja iznad pejsmejkera može se pristupiti električnim parametrima pejsmejkera.

Sama kontrola se sastoji u proveri električnih parametara pejsmejkera i elektrode (voltaža ili „trajanje“ baterije, otpor, minimalni električni prag za stimulaciju).

Kada je sve u redu i parametri stabilni i uredni, pejsmejker se adekvatno programira za najprirodniju funkciju, tj. električnu stimulaciju, kod svakog pacijenta zasebno. Programiranje se vrši prema trenutnom stanju, i podložno je promenama prilikom svake kontrole, kao što se može menjati i osnovno oboljenje zbog kojeg je pacijent dobio pejsmejker.

Tokom očitavanja parametara pejsmejkera, kod većine tipova aparata, dobijaju se i podaci o poremećajima ritma srca između dve kontrole, učestalost i trajanje (ovo se odnosi na različite vrste tahikardija, tj. brzih aritmija).

Koliko su česte kontrole zavisi od tipa pejsmejkera, osnovnog oboljenja i nalaza prilikom očitavanja.

Kontrola pejmejkera

Da li ugrađen pejsmejker donosi neka ograničenja u načinu života

Pejsmejker u svakom smislu značajno povećava kvalitet života i bezbednost pacijenata. Sva uobičajena pitanja vezana za funkciju pejsmejkera i upotrebu aparata koji su deo modernog načina života imaju odgovora da pejsmejker ne ograničava upotrebu bilo kojeg uređaja. Primena fizikalne terapije kod pacijenata koji imaju ugrađen pejsmejker, i to svih oblika fizikalne terapije (magnet, ultrazvuk, različite vrste struja) uglavnom nisu ograničene. Izuzetno su retki pacijenti kod kojih, zbog određenih indikacija i algoritama ugrađenog pejsmejkera, kao i dela tela koji se tretira fizikalnom medicinom, postoje određena ograničenja. U tom slučaju lekar kod kojeg taj pacijent kontroliše funkciju pejsmejkera daje mišljenje za predviđenu fizikalnu terapiju. Ograničavati fizikalnu terapiju samo zato što pacijent ima ugrađen pejmejker, nije opravdano.

Prolasci kroz detektore metala ne ugrožavaju ni pacijenta ni funkciju pejsmejkera, obzirom da kratko traju. Samo se oglašava zvučni alarm zbog prisustva metala.

Pejsmejker detektor metala aerodrom

Primena magnetne rezonance kao dijagnostičke procedure takođe najčešće nije ograničena kod pacijenata sa ugrađenim pejsmejkerom. Čak i kada su u pitanju pejsmejkeri koji nisu predviđeni za ulazak u magnetno polje nisu ograničenje za određene MRI procedure (kao što je na pr. magnetno snimanje glave. Sada se sve češće ugrađuju pejsmejkeri koji mogu u magnetno polje zajedno sa pripadajućim elektrodama (MRI protected). U oba slučaja, pre dijagnostike u magnetnom polju, lekar koji kontroliše funkciju pejsmejkera, vrši adekvatno programiranje, a nakon snimanja i reprogramiranje pejsmjekra.

MRI